DENTÁLNÍ HYGIENA
Co vás čeká při návštěvě dentální hygienistky?
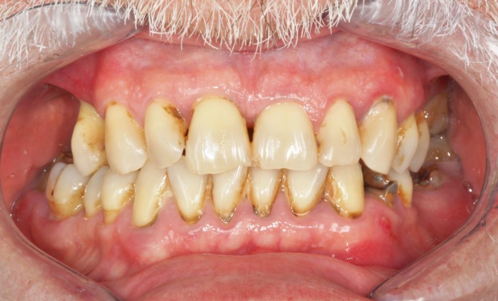
Během vstupního vyšetření provede dentální hygienistka vyšetření parodontu (okolí zubu = prostor mezi kořenem zubu a dásní). Při tomto vyšetření měří velikost tzv. kapes – hloubku prostoru mezi zubem a dásní, krvácivost dásní a zda je přítomen zubní povlak a zubní kámen. Cílem vyšetření je zjistit skutečný stav Vaší ústní hygieny. Na základě výsledku vyšetření je sestaven individuální plán péče, který má za cíl trvalé uzdravení dásní.
Jaké výkony provádí dentální hygienistka?
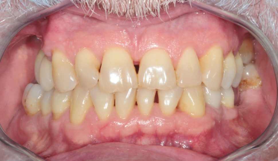
Doporučí vhodné pomůcky pro Vaši ústní hygienu. Dle výsledku vyšetření odstraní zubní kámen a pigmentace, léčí citlivé zubní krčky, provádí fluoridaci a výživové poradenství.
Návštěva u dentální hygienistky je opakována v pravidelných intervalech. Všichni naši klienti jsou povinni absolvovat vyšetření dentální hygienistkou!















